Case secltion

Case selection

Forte is indicated for any mild to moderate recurrent lameness associated with non-septic joint inflammation in horses1. It is an ideal choice for cases where the rationale is to: Treat inflammation and lameness to return function Increase cartilage production and synovial fluid quality to give sustained results
Select a joint to view real case examples, and see how Forte could benefit your patients.

Fetlock Fetlock Stifle DIP Carpus DIP

Case Study 1: Daisy

Fetlock DJD in a 16 year old eventer Mare

SIGNALMENT:

16 year old Cob x Mare

HISTORY:

Owned since 2015. Ongoing left forelimb lameness originally isolated to MCP joint. Onset of laminitis and suspected EMS delayed further investigation and took several months of treatment to resolve. Left forelimb lameness persisted throughout. Previous desmopathy of lateral branch of left forelimb suspensory ligament and adjacent mineralised opacity identified on radiography and MRI.

Clinical Exam:

Grade 1/5 (AAEP Scale) lame on the left forelimb in straight line.

Diagnostic analgesia:

Negative PDNB. 100% improvement to left forelimb MCP joint block.

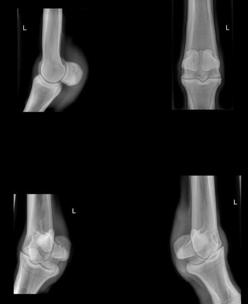
Radiography

Arthroscopy:

Referred for arthroscopy. Mild cartilage fibrillation on the dorso-lateral and dorso-medial aspect of the distal MCIII. Mild-moderate cartilage damage was seen on the dorso-medial aspect of the proximal P1 with a shallow subchondral defect. No irregularity of the dorsal asect of the suspensory branches was present but again mild cartilage degeneration was noted. There was evidence of mild generalised cartilage degeneration and a focal lesion in proximal P1.

Diagnosis:

DJD of left forelimb fetlock joint.

Treatment:

Arti-Cell® Forte administered into left forelimb fetlock joint.

Re-examination:

4 weeks post treatment started back into full work.

Follow-Up:

9 months after treatment in full work and competing, no recurrence of lameness, no subsequent treatment administered.

Case Study 2: Thor

Fetlock DJD in an 8 year old Irish Sports horse

SIGNALMENT:

8 year old ISH gelding

HISTORY:

Lameness left forelimb, 6 weeks' duration. Initially presented acutely after cross country schooling 4/10 lame left forelimb with a moderate fetlock effusion and positive to fetlock flexion. Conservative management had not resolved lameness.

Clinical Exam:

Lameness not initially detected, but following flexion of left forelimb became 1-3/10 LF in a straight line, 3/10 LF on hard circle.

Diagnostic analgesia:

Negative PDNB. Partial improvement after 10 minutes ASNB, positive low-4-point. Following day positive MCP joint block (100%).

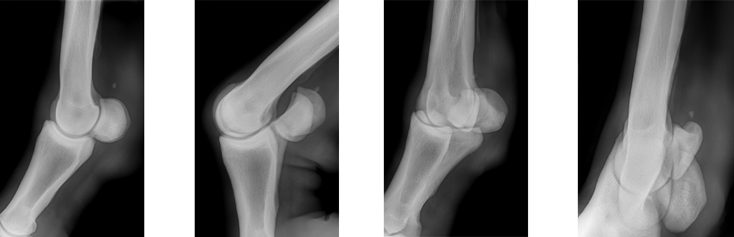
Radiography :

Radiographs of fetlock revealed osteoarthritic change indicated by sesamoid remodelling and evidence of dorsomedial remodelling of proximal P2.

Ultrasound:

No significant findings.

MRI:

MRI revealed degenerative joint disease of left forelimb fetlock with some subchondral bone remodelling.

Diagnosis:

DJD of left forelimb fetlock joint.

Treatment:

Arti-Cell® Forte administered into left forelimb fetlock joint.

Rehab programme:

1-3 days strict box rest followed by:
Week 1: 20 minutes walking
Week 2: 30 minutes walking and trotting
Week 3: Including light canter work.
Remedial farriery prescribed to address foot balance.

Re-examination:

4 weeks after Arti-Cell® Forte treatment. Sound on straight line, lunge and negative to flexion. Resume normal work including jumping.

Follow-Up:

8 weeks after Arti-Cell® Forte treatment. Returned to full work and sound.

Back to top

Case Study 3: Murphy

Stifle DJD in a 7 year old eventer

SIGNALMENT:

7 year old sports horse gelding

HISTORY:

Owner purchased 14 months previously. Been competing at BE90 and placed every time out. Had several fences down in SJ at most recent event and rider reported that he felt uncomfortable.

Clinical Exam:

6/10 lame right hind on a hard surface in a straight line. On the soft lunge, 4/10 lame right hind on the right rein and 3/10 lame left hind on the left rein. Negative lower limb flexion. In canter on both reins, consistent 'bunny hopping' and switching leading hindlimbs. On palpation, effused medial femorotibial joints, R>L.

Diagnostic analgesia:

Right hind tibial- peroneal blocks negative at 20 and 30 minutes.

Right hind stifle joint block (all 3 compartments) at 35 minutes, became left hind 3/10 on hard surface in straight line
Left hind stifle joint block (all 3 compartments) at 35 minutes, became sound.

Radiography :

Radiography revealed remodelling within both stifles and a clear OCD lesion within the right femoropatellar joint.

Arthroscopy:

The left stifle showed severe inflammatory changes, consistent with established OA, a large OCD lesion on the lateral trochlear ridge and multiple areas of cartilage damage. The right stifle also showed significant inflammatory changes, with several areas of abnormal cartilage appearance and focal lesions.

Diagnosis:

Bilateral stifle DJD- prognosis for return to ridden work was extremely guarded.

Initial treatment and re-examination:

Both medial femorotibial joints were medicated with triamcinolone acetate. After 5 months' paddock rest the patient remained lame, 3/10 right hind on a hard surface in a straight line.

Treatment:

Both the right femero-patellar and left medial femero-tibial joints were medicated with Arti-Cell® Forte.

Rehab programme:

Strict box rest for 2 weeks and then 1 week with 10 minutes in hand walking twice daily. Then started ridden walking exercise progressing to trot work.

Re-examination:

6 weeks after Arti-Cell® Forte treatment, sound at walk and trot on a hard surface in a straight line. Work increased to include canter work and jumping.

Follow-Up:

5 months after treatment with Arti-Cell® Forte, Murphy is still sound and in full work.

Back to top

Case Study 4: Ollie

DIP joint DJD in a 20 year old Showjumper

SIGNALMENT:

20 year old TBx Stallion

HISTORY:

Left forelimb lameness 1 week duration. Previous left forelimb ALDDFT injury.

Clinical Exam:

2/10 left forelimb lame on the right rein soft lunge and 4/10 lame left fore on the left rein. Bilateral DIP joint effusion, more obvious within left fore.

Diagnostic analgesia:

Left forelimb PDNB- switch to 2/10 right forelimb lameness on a hard surface in a straight line.
Right forelimb PDNB- switch back to 2/10 left forelimb lameness on a hard surface in a straight line.
Left forelimb ASNB - sound.

Radiography:

Small osteophyte on joint margin of P3 within the left DIP joint.
Moderate osteophyte formation within both right and left PIP joints.

Diagnosis:

Bilateral DJD of forelimb DIP joints.

Initial Treatment:

Both DIP joints were medicated with triamcinolone acetate, hyaluronic acid and amikacin. 4 weeks after initial treatment lameness persisted. An MRI was performed.

MRI:

Left forelimb - Osteophyte of the medial and lateral joint margin of P3.
The PIP joint has moderate osteophyte formation on the medial, dorsal and lateral joint margins with moderate joint effusion.
Right Fore- The DIP joint has milder effusion with mild soft tissue/fibrosis of the dorsal pouch. The PIP joint has moderate effusion and osteophyte formation of the dorsal margin of P2.
The medial collateral ligament of the DIP joint appears rounded and mildly thickened compared to the lateral ligament.
Dorsal P2 has milder rounded remodelling of the dorsomedial and lateral attachment of the joint capsule.

Subsequent Treatment:

4 weeks' rest followed by medication of both PIP joints with methyl-prednisolone. 4 weeks later, lameness persisted 4/10 left forelimb. Blocked to PDNB.

Treatment:

Arti-Cell® Forte was injected into the left forelimb DIP joint.

Rehab programme:

2 weeks' box rest, then 2 weeks in-hand walking, 10 minutes twice a day. Then ridden walking exercise was started with small paddock turnout.

Re-examination:

8 weeks after Arti-Cell® Forte treatment, in light work, sound on a hard surface in a straight line and on both reins on the soft lunge. Jumping work resumed.

Follow-Up:

10 months after treatment with Arti-Cell® Forte, Ollie is in full work and remains sound.

Back to top

Case Study 5: Equitation

Carpal DJD in a Flat Racehorse

SIGNALMENT:

5 year old TB Chestnut gelding

HISTORY:

Bought in Autumn Sales, history of ‘troublesome knees’. Suspicion of mild lameness initially managed with oral NSAIDs and exercise modification. Lame after three runs.

Clinical Exam:

Moderate distension of left forelimb middle carpal joint. Lame left forelimb 2/5 on straight line at trot.

Diagnostic analgesia:

100% response to middle carpal block 5 minutes.

Radiography:

Third carpal bone sclerosis L>R. Mild remodelling of distal dorsal medial radiocarpal bone.

Diagnosis:

DJD of middle carpal joint.

Treatment:

Arti-Cell® Forte administered into left forelimb middle carpal joint with 48 hours of systemic NSAID therapy.

Rehab programme:

No further medication. 72 hours box rest followed by 1 week walking under saddle, 1 week trotting and 1 week cantering.

Re-examination:

3 weeks post Arti-Cell® Forte treatment, clinical examination revealed significant lameness reduction on a straight line.

Follow-Up:

Returned to full work, won and placed 2nd in first 3 races after treatment. 18 months after treatment with Arti-Cell® Forte still racing.

Back to top

Case Study 6: Gicko

Right forelimb DIP DJD in a 16 year old showjumper

SIGNALMENT:

16 year old Chestnut WB gelding

HISTORY:

Right forelimb lameness 2 months duration. First appeared the day after a competition. Resolved with rest and NSAIDs and returned with ridden work. Continued competing until lameness became more consistent at 1-2/10 lame right forelimb despite rest. DIP joint suspected and medicated with corticosteroids and hylauronic acid. Good initial response.

Clinical Exam:

6 weeks later, lameness returned. 4/10 lame trot straight line.

Diagnostic analgesia:

PDNB negative. ASNB abolished lameness. The next day, DIP joint blocked, sound after 5 minutes.

Diagnosis:

Radiography confirmed diagnosis of DJD of RF DIP joint.

Treatment:

DIP treated with Arti-Cell® Forte with 48 hours of systemic NSAID therapy. 72 hour strict box rest followed by 1 week walking under saddle, 1 week trotting and 1 week cantering.

Re-examination:

3 weeks post Arti-Cell® Forte treatment, sound at trot, training level increased.

Follow-Up:

Competed throughout summer, 10 months post Arti-Cell® Forte treatment no return of lameness.

Back to top

Sign up here:

To join our equine orthopaedic mailing list and receive articles and news of relevant CPD and events.

Please see our Privacy Policy which explains how we process personal data